- セラミック治療で綺麗で審美的な歯へ!
お口元のコンプレックスの解消は自然な笑顔に直結します

各患者さまのご要望に合わせた素材をご提供
当院では、歯の欠損箇所に装着する詰め物や被せ物などの補綴物(ほてつぶつ)を多数ご用意しております。保険診療内の素材はもちろんのこと、見た目にも違和感のないもの、金属不使用のお身体に優しいものなど、患者さまのご希望や条件に合わせてご提供いたします。事前にしっかりとした口腔検査を実施させていただき、お口環境に適合するかどうかも判断させていただきますので、お気軽にご相談ください。
金属を使用しないノンメタル素材のメリット
ノンメタル素材とは、具体的にはセラミックやジルコニアなどの非金属製の素材のことです。金属アレルギーをお持ちの場合に最適で、金属イオンによる歯茎の黒ずみを解消させる効果も期待できます。見た目にも天然歯に近い白さを再現できますので、笑顔に自信が持てるようになります。
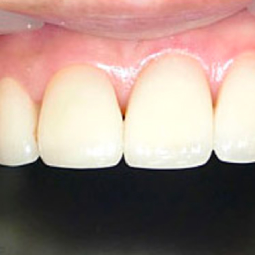
施術名:セラミック
施術説明:セラミック治療は形の悪い差し歯、被せ物を治したり、部分的な歯並びの矯正を行うことができる治療です。短期間で歯並びの改善まで実現することが可能です。
施術副作用:疼痛・咬合時痛・冷水痛・抜歯を伴う場合は腫脹や出血などを生じる事があります。麻酔を行う場合、腫れやむくみを生じる事があります。セラミック・仮歯が欠けたり、外れる事があります。神経の治療や抜歯が必要な場合があります。また、歯並びが変わる事により違和感を生じる事があります。
施術の価格:60,500円(税込)~143,000円(税込)(1本あたり)
当院の「精密審美歯科」とは?
精密審美歯科とは、審美性が求められる場面において、より精密な処置を施しながら美しさと機能性の精度を高めていくものになります。具体的な例を挙げると、虫歯治療をして歯を削った後に被せ物をする際、天然の歯と詰め物・被せ物の間にごく僅かな隙間も作らず、「ミクロ単位のピッタリとした装着」と「見た目の美しさ」そして「噛みやすさという機能面」を合わせてご提供するような処置になります。
これらを実現するために、当院では最新医療設備を導入し、各工程において細やかな配慮と徹底したこだわりをもって作業を行ないます。
徹底してこだわった作業工程
初期治療の実施
まず虫歯や歯周病を完治させ、その上で補綴物をご提供して長期的に使用できるようにします。
噛み合わせの調整
表面的な見た目だけでなく徹底した噛み合わせ調整を実施し、噛む機能面の配慮を怠りません。
シリコンによる型取り
歯型を取る際に信頼性の高いシリコン素材を採用し、ブレのない精密な型取りを実現します。
ワックスアップ(形成)
補綴物の精度向上を目指し、事前にワックスによるシミュレーションを実施します。
仮歯精度も追求
本番のものをご提供するまでの間の仮歯であっても妥協なく良適合を目指します。
拡大視野下での形成
マイクロスコープや拡大鏡を駆使してコンマ1mmの単位にこだわった形成を実施します。
お口元のコンプレックスの解消は自然な笑顔に直結します

短期集中タイプの治療を実現
当院では、一回の治療時間を長く確保することで総合的にご来院いただく回数を少なくし、治療を早期に完了してもらえるような「短期集中治療」を実施しています。この短期集中治療では、決して治療の質や精度を落とさず、むしろ効率的に作業を進めることで、より良い適合や仕上がりを目指すものになります。仕事や家事でお忙しい方でも、このプログラムをご活用いただくことで、気になる見た目の改善を短期間で実現していくことができます。
優秀な歯科技工士たちとの密接な連携
補綴物と呼ばれる「詰め物」や「被せ物」は、歯科治療において非常に重要な役目を果たします。適切な歯型を取ることや、治療をして補綴物を装着する前段階までのお口環境を整えることは歯科医師の役割になりますが、補綴物そのものの製作や形成は「歯科技工士」が行ないます。
よって、歯科技工士の技術レベルが低ければ、ベストな審美性や噛み合わせは実現困難になります。当院は、信頼できる歯科技工所との確かなパイプがありますので、技術力の高い歯科技工士と密接に連携して補綴物の作成を行なうことができます。
あなたの「気になる」に合わせた最適治療をお届けします
- 銀歯が目立って気になる
- 歯に食べ物がよく詰まるのが気になる
- 歯の形が整っていないのが気になる
- 歯の色で気になる箇所がある
審美治療費(詰め物・被せ物など)
| 名称 | 特性 | 料金(税込) |
|---|---|---|
| セラミックインレー(e-max In) | ・天然歯に近く、変色しない ・金属アレルギーの心配なし |
¥66,000 |
| ジルコニアインレー(Zr In) | ジルコニア(人工ダイヤ)のみで出来ている被せ物です。セラミックインレーより強度が強いです。 | ¥77,000 |
| ゴールドインレー(G In) | 金・銀・銅・プラチナ等からなる合金でできている詰め物です。詰め物となる部分を削って型を取り制作し、耐久性の高いセメントで歯に装着します。 | 時価(金属代による) |
| ラミネートべニア(Lv) | ・自然の歯の色に近い ・変色しない ・歯を削る量を最小限に抑えられる |
¥165,000 |
| ファイバーコア(Fコア) | ・柔軟性がある ・審美性に優れる ・歯に近い硬さである |
直接法¥11,000 間接法¥22,000 |
| フルジルコニアクラウン(FZr Cr) | ・自然の歯に近く、変色しない ・金属アレルギーの心配なし ・耐久性がある |
単色¥93,500 ※臼歯部のみ ハイトランス¥105,000 ※臼歯部・条件により前歯部も可 |
| セラミッククラウン(e-max Cr) | ・自然の歯に近く、変色しない ・金属アレルギーの心配なし ・歯肉との境目がわかりづらい |
¥115,500 ※前歯部のみ・連結不可 |
| ジルコニアセラミッククラウン(PFZ Cr) | ・セラミック素材の中で審美性NO.1 ・金属アレルギーの心配なし ・耐久性が非常に高い |
¥148,500 ※ファイバーコア込み |
| ゴールドクラウン(G Cr) | ・金属アレルギーの心配なし ・耐久性がある |
時価(金属代による) |






